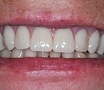
Sometimes, it’s just best for you to see the results for yourself! With Dr. Jeffery Hadley, advanced dental treatments can give you the smile that lights up the room. Cosmetic dentistry options such as porcelain dental veneers and teeth whitening can address a number of aesthetic issues with your teeth such as gaps, chips, and discoloration; restorative dentistry procedures like dental implants can improve form and function by replacing missing teeth with results that look and feel natural; and a range of general dentistry options like tooth-colored fillings can keep your teeth healthy without the metal appearance of traditional fillings.
At the practice of Dr. Jeffery Hadley, we focus our attention on you and your needs, making visits to the dentist as comfortable as possible. Our goal is to give you the safest, most compassionate care in the area, with results that meet – and even exceed – your expectations.
Take a look at our cosmetic and restorative dentistry before and after photo gallery, and contact our Las Vegas, Nevada practice today!













































